İMPLANT NEDİR? İmplantlar, diş kökü şeklinde titanyumdan hazırlanmış, çene kemiğine küçük bir operasyon ile yerleştirilen suni diş kökleridir. Titanyum doku dostu bir malzemedir. Kemik ile özel bir bağ oluşturarak yerleştirildiği yere, hücresel olarak tutunur. Bu tutunma tamamlandığında (2-6 ay) üst yapı dediğimiz protezi hazırlama işlemine geçilir. Günümüzde implantlar tartışmasız olarak doğal dişe en iyi alternatiftir.

HANGİ DURUMLARDA İMPLANT YAPILIR? Total protezler artık dişsiz ağızların tek şansı olmaktan çıktı. Çene kemiğine yerleştirilen implantlar ve bunlardan destek alınarak hazırlanan protezler, artık hastalara kendi dişleriyle çiğniyormuş hissi vermekte ve bu sebeple sıklıkla tercih edilmektedir.

HER HASTAYA İMPLANT UYGULANABİLİR Mİ? İmplant yerleştirilecek bölgede çene kemiğinin implantı kabul edecek yükseklik ve genişliğe sahip olması gerekmektedir. Mevcut kemiğin kalitesi implantın başarısını etkileyen faktörlerden biridir. Gençlerde kemik gelişiminin tamamlanması gerekmektedir. Erişkinler için üst yaş sınırı yoktur. Genel sağlık durumu iyi olan herkese implant uygulanabilir. Hijyen, implant uygulamalarında ayrıca önem taşımaktadır. O yüzden implant uygulanacak kişinin ağız bakımına dikkat etmesi implantın başarısında büyük rol oynamaktadır.

İmplantların Fonksiyonu Nedir? İmplant çene kemiğinize kaynadığından dolayı, yapay dişler için sabit destek sağlarlar. İmplantlara takılan protez ve köprüler, ağzınızın içinde kaymazlar – bu, yemek yemek ve konuşmak için gereklidir. Bu sabit destek , protez ve köprülerin yanı sıra implantlar üzerine yerleştirilen kuronların, geleneksel köprü veya protezlere göre daha doğal hissedilmesini de sağlar.

Bazı bireylerde, geleneksel köprü ve protezler, yumuşak doku yaraları , zayıf destek dişler veya kusma eğiliminden dolayı rahat olarak kullanılamamakta veya hiç kullanılmamaktadır. Ayrıca, geleneksel köprüler, eksik dişin yol açtığı boşluğun her iki tarafındaki dişe tutturulmak zorundadır. İmplantların bir avantajı da, yeni dişinizi/dişlerinizi tutturmak için bitişik dişlerin kaplanmasını ve küçültülmesini gerektirmemesidir.

İmplant uygulanabilmesi için, sağlıklı dişetleriniz ve implantı destekleyecek yeterli kemiğinizin bulunması şarttır. Ayrıca, bu yapıları sağlıklı tutmayı ilke edinmeniz gerekir. Düzenli ve doğru ağız bakımı ve düzenli diş hekimi ziyareti, implantların uzun vadeli başarısında kritik öneme sahiptir. İmplantlar genellikle diğer yöntemlerden daha pahalıdır. Amerikan Diş Hekimleri Birliği (ADA) , iki tip implantı güvenli bulmaktadır.

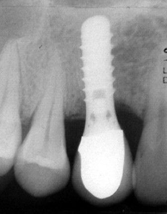
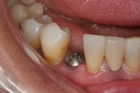
Endosteal implantlar - bu implantlar, cerrahi yöntemle, çene kemiğine direkt olarak implante edilirler. Çevredeki dişeti dokusu iyileştikten sonra, orijinal implanta bağlantı sağlayacak materyali takmak için ikinci bir operasyon gerekir. Son olarak, yapay diş (veya dişler) tek başına veya köprü ya da protez üzerinde grup halinde implanta takılır.

Subperiosteal implantlar - bunlar, dişeti dokusunun hemen altındaki çene kemiğine takılan metal bir çerçeveden oluşurlar. Dişeti iyileştiğinde, çerçeve çene kemiğine sabit hale gelir. Çerçeveye takılan materyaller, dişetlerinden dışarı çıkar. Endosteal implantlarda olduğu gibi, yapay dişler, daha sonra implantalara monte edilir.

İmplantlar Ne Kadar Süre İle Kullanılabilir? İmplantlar genellikle, implantın uygulandığı bölgeye, hastanın ağız hijyeni kurallarına dikkat etmesine ve diş hekimi kontrolüne gitmesine göre; 10 ila 20 yıl arası kullanılabilmektedir. Azı dişleri daha çok gerilim, yıpranma ve aşınmaya tabi olduğundan dolayı , bu implantlar, ön dişlerdeki implantlar kadar uzun ömürlü olamamaktadır.

1) HANGİ DURUMLARDA İMPLANT YAPILIR? Tek diş eksikliğinin komşu sağlam dişlere dokunulmadan giderilmesinde, birden fazla diş eksikliğinin, takılıp çıkartılan protezler yerine, implantlar yardımı ile sabit köprüler yapılarak giderilmesinde, tam dişsizlik durumunda takılıp çıkartılan protezler (damak) yerine sabit protezler yapılabilmesinde, her türlü dişsizliğin ve eksik fonksiyonların giderilmesinde uygulanabilir.

Diş kayıplarının ya da meydana gelen travmaların sonucunda fizyolojik olarak oluşan kemik erimeleri, çene kemiğinin seviyesinin ve hacminin azalmasına neden olmaktadır. Bu durum, uygulanacak protezin işlevini tam olarak yerine getirebilmesine engeldir. Bunun sonucunda da çiğneme ve konuşmada problemlerin çıkması kaçınılmaz olur.

İMPLANTIN YARARLARI NELERDİR? İmplant, sağlam, rahat ve güvenilir bir uygulamadır. İmplantlar üzerine yapılan protezler, gerçek dişlerin yerini alırken en doğal yapıyı oluştururlar. Eksik dişlerin tamamlanması sürecinde, sağlıklı dişlere dokunulmamış olur.

Tüm protezlere oranla çok daha uzun ömürlüdür. Normalde diş kaybının etkileri fizyolojik olduğu kadar psikolojik de olacaktır. İmplant, doğal dişin yerine geçen bir özel uygulama olarak, diş kayıplarının yol açacağı her türlü soruna kesin ve en sağlıklı çözümü getirmektedir.

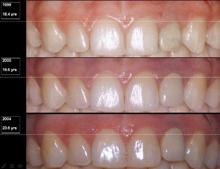
İMPLANT DİŞLERİ DOĞAL GÖRÜNÜR MÜ? İmplant kemik ve dişeti altında yerleşmektedir. Bu sebeple üstüne yapılan dişle herhangi bir uyumsuzluk söz konusu olmamaktadır. Özellikle son dönemlerde gelişen zirkon üst yapılar sayesinde ön bölge estetiğinde bile tam bir uyum sağlanmaktadır.

İMPLANT HER YAŞTA UYGULANABİLİR Mİ? Evet. Sadece, gençlerde kemik gelişiminin tamamlanması gerekmektedir. Bu da kızlarda 16-17, erkeklerde ise 18 yaşına kadar gerçekleşmektedir. Erişkinler için üst yaş sınırı yoktur. Genel sağlık durumu uygun olan her yaştaki insana uygulanabilir. Yaşlı insanlar daha çok diş kaybettiklerinden ve çene kemiklerinde erimeler olduğu için diş implantlarına daha çok gereksinim duyarlar.

IMPLANTIN BAŞARISI NEYE BAĞLIDIR? İmplantların başarısı için genel sağlığın iyi olması, yani yeterli “iyileşme potansiyeli” olması, doğru teşhis konulması ve implantın temizlik ve bakımının doğru yapılması gerekmektedir. Bunun yanında hekim tarafından uygun cerrahi ve uygun protez yapılmış olması gereklidir. Ayrıca, çok fazla sigara içilmesi ve/veya aşırı alkol kullanılması başarıyı olumsuz etkileyecektir. Yukarıdaki faktörlere bağlı olarak implant başarısı %90-100 arasında değişebilir.

İMPLANT HANGİ DURUMLARDA SAKINCALIDIR? Bazı bedensel rahatsızlıklar veya engeller nedeniyle implant yapılması sakıncalı olabilir.Bazı durumları şöyle özetleyebiliriz: -Bazı kalp rahatsızlıkları -Kan pıhtılaşma sorunları -Romatizmal hastalıklar -Aşırı düşkün olmak ve benzeri durumlar.

-Diyabet (şeker hastalığı); kontrol altında olmayan ve diyabetin düzenli seyretmediği durumlar -Çenedeki kemik yapısının uygun olmaması, yetersiz veya anatomik olarak riskli olması. -Hastanın cerrahi işlemlere yatkın olmaması (aşırı korku, endişe) -Hastanın implant sonrası oral hijyenini (ağız temizliğini) tam olarak sağlayamayacağı durumlar.

İMPLANTLAR VÜCUT TARAFINDAN REDDEDİLİR Mİ? Günümüzde implant materyali olarak en fazla kullanılan metal titanyumdur. Titanyum, doku uyumu mükemmel olan, yüzyıllardır tıbbın birçok alanında güvenle kullanılan bir metaldir. Bu nedenle bir “doku reddinden” söz edilemez.

İMPLANTIN KANSER RİSKİ VAR MIDIR? Tıp ve diş hekimliği dünyasında diş implantlarının kansere neden olduğunu gösteren tek bir örnek bile yoktur.

İMPLANT PAHALI BİR TEDAVİ MİDİR? İmplant uygulamaları bir dizi karmaşık ve uzun süreli işlemleri gerektirir. Dolayısıyla rutin diş hekimi hizmetlerinden daha yüksek bir harcama gerektirirler. İmplant tedavileri tamamlanan hastalarda yapılan bir araştırmada, hastalar yaptıkları yatırımın karşılığını aldıklarını ve gerekirse aynı şeyi tekrar yaptıracaklarını belirtmişlerdir.

İMPLANT OPERASYONUNDA BİR RAHATSIZLIK OLABİLİR Mİ? Operasyon lokal anestezi ile hiçbir ağrı ve rahatsızlık duyulmadan yapılabilmektedir. Gerekli durumlarda genel anestezi de uygulanabilir. Operasyondan sonra herhangi diş çekiminden sonra da duyulabilecek hafif bir ağrı veya şişlik olabilir. Bunlar da ağrı kesicilerle ve gerekli önlemlerle rahatlıkla giderilebilir.

İlaçlar ile herhangi bir etkileşim var mıdır? Bu belirli ilaçlar için mümkündür.Örneğin,kortizon vücut metabolizmasını ve bağışıklık sistemini değiştirebilir ve iyileşme ile ilgili problemler ile karşılaşılabilir.Pıhtılaşmayı engelleyici ilaçlar implantların yerleştirilmesi esnasında ciddi kanamalara sebep olabilir.Eğer düzenli olarak ilaç kullanmanız gerekliyse bunu diş hekiminiz ile görüşmeniz gerekir.

İMPLANTLARIN YERLEŞTİRMESİ VE PROTEZ KADAR SÜRER? Cerrahi işlemin süresi yerleştirilecek implant sayısına ve hastanın koşullarına bağlı olarak yarım saat ile birkaç saat arasında değişebilir. Operasyondan sonra, implant ile kemiğin kaynaşması için (osseointegrasyon) 2-3 ay kadar beklenir. Daha sonra bu implantlar üzerine, birkaç seans süren bir uygulama ile protezler yerleştirilir. İmplantlar dişler çekildikten hemen sonra yerleştirilebilir mi? Evet,günümüzde bu mümkündür.İmplant diş çekimini takiben taze çekim boşluğu içerisine yerleştirilebilir.Buna “immediyat uygulama” denir.

İmplant yerleştirilmesi için genel anestezi gerçekten gerekli değil midir? Hayır.Lokal anestezikler herhangi bir ağrıyı tamamen engelleyebilir.Diş hekiminiz kemik üzerinde implant sahasını hazırlayıp implantı yerleştirirken bir titreşim ve hafif bir basınç hissedersiniz,ama ağrı duymazsınız.Çoğu hasta için bu işlem,o da lokal anestezi altında uygulanan normal bir çürük tedavisi gibi hissedilir.Ne var ki,yinede tedavi sırasında “uyumak” isterseniz diş hekiminiz genel anestezinin özelliklerini açıklayabilir.

Bir implant ne kadar dayanır? İyileşme aşamasından sonra doğru biçimde yerleştirilmiş kaliteli bir implant pek çok etkene karşı doğal diş kökünden daha dayanıklı olacaktır.Doğru biçimde protetik yükleme yapılmış bit titanyum implant kırılmayacaktır.Ayrıca çürüğe karşı dirençlidir.Sürekli ağız bakımı,diş etleriniz ve implant sahasının sağlıklı biçimde kalmasını sağlayacaktır.Uygun bakım ile implantlarınız ömür boyu dayanabilir.

İmplantlar kalp pilini etkileyebilir mi? Hayır.İmplantların elektromanyetik etkisi yoktur.Kalp pilinizin çalışmasını herhangi bir şekilde etkileyemez.

İmplant tedavisinin tüm maliyeti ne kadar olacak? Maliyet tedavinin kapsamına ve implant sayısına bağlıdır.Muayene sırasında size bildirilecek olan yapılması gereken tedavinin içeriği ve maliyeti size bu konuda net bir fikir verecektir.

Dental implantlar sigara kullanan kişiler için önerilebilir mi? İmplantların uzun dönem başarı oranı,sigara kullanımı sebebiyle tehlikeye girebilir.Diş hekiminize danışınız sizin durumunuzdaki riskleri değerlendirebilir.

İmplant yerleştirildikten sonra hala egzersiz yapıp spora devam edebilir miyim? Eğer dinamik hareketler içeren aktivitelerde yer alıyor iseniz,önce hekiminize danışmalısınız.İyileşme sürecinin etkilenmesini önlemek için birkaç gün dinlenmeniz tavsiye edilebilir.

İmplant yerleştirilirken acı duyar mıyım? Uygun anestezi yöntemlerinin uygulanması durumunda hayır. Operasyon sırasında hasta tercihine göre genel ya da lokal anestezi kullanılabilir.

Genellikle implant'ın yerleştirildiği akşam duyulabilecek ağrı basit ağrı kesiciler ile giderilebilir. Bir çok hasta bu ağrının normal diş çekiminden sonra duyulan ağrıdan farklı olmadığını belirtmektedir. Tedavinin problemsiz tamamlandığı vak'alar da implantların varlığını bile hissetmeyecek kadar rahat olursunuz.

İmplant tedavisi pahalı mıdır? Maalesef, evet. Kullanılan tüm malzemenin ithal olması ve sağlıklı implant üretimi için çok yüksek teknolojiye gereksinim duyulması tedavinin fiyatını belirlemektedir.

Ülkemizin içinde bulunduğu ekonomik şartlar nedeniyle döviz kurlarında gözlenen artışlar da tedavinin maliyetini olumsuz etkilemektedir. Ancak kesin fiyat uzman hekimlerimizin sizi muayene edip, bu tedavi sekli için uygun bir hasta olup olmadığınızı belirlemeleri ve istediğiniz protez şekline göre değişecektir.

İmplant yerleştirme işleminin karmaşıklığı ve uzunluğu, hastanın diş sağlığı ve ihtiyaçlarına bağlı olarak değişir, ve sonuç büyük bir yatırım olabilir.

Buna rağmen 350 hastaya implant yerleştirildikten sonra yapılan bir ankette, hastaların yaptıkları yatırımdan memnun kaldıkları ve gerekirse tekrar memnuniyetle yapacakları bulunmuştur.

İmplant tedavisinin dezavantajları nelerdir? * Yüksek fiyat * Çok özenli ve zaman ayrılarak yapılması gereken ağız temizliği işlemi

İmplant tedavisinin avantajları nelerdir? * Daha iyi çiğneyebilme - Her istediğini yiyebilme * Daha iyi estetik görünüm * Özgüvenin geri kazanılması ile daha mutlu bir sosyal hayat * Her şeyi yiyebilmeye bağlı olarak daha sağlıklı ve dengeli beslenme

İmplantların ömrü ne kadar? İmplantların ağızda otuz yıl kadar sorunsuz kaldığı görülmüştür. Fakat implantlardan ortalama beklenti bundan kısadır. İmplantın ömrü bir çok etkene bağlıdır.

Hastanın sağlığı ve implantların iyi bakımı bunların ikisidir. Sonuçta implantlar bir ömür boyu kullanılabilirler. Ömürlerini etkileyen bir çok etkeni ve sizin risklerinizi dişhekiminiz size açıklayacaktır.

Tek bir İmplant uygulamasının fiyatı değişiyor 800 Euro-800 Dolar-1000 Euro-1200 Euro gibi yüksek fiyatlarla değişebiliyor

Yorumlar
Editör Hakkında